

Giza, Egypt, Egypt
Radiologist








































































































Volvulus
1. GIT volvulus Dr/ Hytham Nafady
2. Volvulus ? Twist of the bowel around its own mesentery.
3. Volvulus (twist of the bowel around its own mesentery) Closed loop obstruction (obstruction of the bowel at 2 points in 1 location) Strangulation (obstruction of the bowel with interruption of its blood supply)
4. Closed loop obstruction
5. Volvulus Gastric volvulus Organo-axial Mesentero- axial Midgut volvulus Colonic volvulus Sigmoid Organo- axial Mesentero- axial Cecal Axial Bascule
6. Colonic volvulus
7. Causes of closed loop obstruction Closed loop obstruction Small bowel Hernia Adhesions Volvulus Large bowel Volvulus
8. Etiology
9. Etiology Gastric volvulus Midgut volvulus Sigmoid volvulus Cecal volvulus 1ry: Congenital weakness of suspensory ligaments. 2ry: Diaphragmatic hernia. Diaphragmatic eventration Malrotation (short mesenteric attachment). Congenital short mesentery. Chronic constipation. Colonic distention. Congenital defect in the peritoneal fixation of the right colon. Congenital long mesentery. Congenital malrotation. Chronic constipation. Colonic distension.
10. Gastric volvulus 1ry Congenital weakness of the suspensory ligaments Gastro- splenic Gastro- colic Gastro- hepatic Gastro- phrenic 2ry Diaphragmatic hernia Diaphragmatic eventration Gastric volvulus
11. GS GS GC GH GH Suspensory ligaments
12. Midgut volvulus Malrotation Colon Volvulus Malrotation
13. Types
14. Types of gastric volvulus Organo-axial Mesentro-axial Rotation around a line extending from the gastric cardia to the pylorus Rotation around an axis extending from the greater to the lesser curvatures
15. Types of sigmoid volvulus 180 degree of rotation 360 degree of rotation 540 degree of rotation Most common Mesenterico axial Organo-axial Twist around mesenteric axis Twist around longitudinal axis Closed loop obstruction No closed loop obstruction (one transition point)
16. Types of cecal volvulus Type I cecal bascule Type II Axial cecal volvulus Folding of the cecum anterior to the ascending colon Rotation of the distended cecum around the longitudinal axis of the ascending colon.
17. C.P
18. Age of presentation Gastric volvulus Midgut volvulus Sigmoid volvulus Cecal volvulus Pediatrics & adults Infants Old age (60-70) Old age (but younger than sigmoid volvulus).
19. C.P Gastric volvulus Midgut volvulus Sigmoid volvulus Cecal volvulus Acute volvulus: Borchardt triad: 1. Sever epigastric pain. 2. Violent retching without vomiting. 3. Difficulty in advancing in nasogastric tube. Chronic volvulus: Vague non specific symptoms. ?Neonatal intestinal obstruction. ?Bilious vomiting. ?Abdominal distension. ?Acute intestinal obstruction. ?Acute intestinal obstruction.
20. Plain radiography
21. Volvulus Gastric volvulus Intrathoracic stomach with air fluid level Midgut volvulus Double bubble sign Colonic volvulus Sigmoid Coffe bean sign Cecal Marked cecal distension
22. Gastric volvulus ? Intra-thoracic stomach with double air fluid level.
23. Gastric volvulus ? Intrathoracic stomach with double air fluid level.
24. Midgut volvulus ? Double bubble sign.
25. Sigmoid volvulus coffe bean sign
26. Sigmoid volvulus coffe bean sign
27. Northern exposure sign
28. Northern exposure sign
29. Cecal volvulus
30. Cecal volvulus SMA SMV Beak sign
31. Sigmoid volvulus Cecal volvulus sigmoid volvulus can only move upwards and usually goes to the right upper quadrant. Cecal volvulus however can go almost anywhere and can even be located in the pelvis. Sigmoid volvulus Vs cecal volvulus 1 A volvulus always extends away from the area of bowel twist.
32. Sigmoid volvulus Cecal volvulus Associated with large bowel dilatation. Associated with small bowel dilatation. Sigmoid volvulus Vs cecal volvulus 2
33. Barium
34. Volvulus Gastric volvulus Organo-axial Greater curvature above lesser curvature Mesentero-axial Gastric antrum above gastric fundus Midgut volvulus Cork scerw duodenum Colonic volvulus Sigmoid Beak sign Cecal Beak sign
35. Organo-axial gastric volvulus
36. Mesentero-axial gastric volvulus
37. Mesentero-axial gastric volvulus
38. Mesentero-axial gastric volvulus
39. Mesentero-axial gastric volvulus
40. Midgut volvulus ? Cork screw duodenum & proximal jejunum.
41. Midgut volvulus ? Cork screw duodenum & proximal jejunum. D S R
42. Sigmoid volvulus bird beak sign R S
43. Cecal volvulus bird beak sign R A D
44. CT
45. Volvulus Gastric volvulus Organo-axial Greater curvature above lesser curvature Mesentero-axial Gastric antrum above gastric fundus Midgut volvulus Malrotation (SMV to the left of SMA) Whirl sign Colonic volvulus Sigmoid Whirl sign Cecal Whirl sign
46. Organo-axial gastric volvulus
47. Organo-axial gastric volvulus
48. Organo-axial gastric volvulus
49. Organo-axial gastric volvulus
50. Organo-axial gastric volvulus
51. Organo-axial gastric volvulus
52. Organo-axial gastric volvulus
53. Organo-axial gastric volvulus
54. Organo-axial gastric volvulus
55. Organo-axial gastric volvulus
56. Organo-axial gastric volvulus
57. Organo-axial gastric volvulus
58. Organo-axial gastric volvulus Diaphragmatic hernia
59. Mesentero-axial gastric volvulus
60. Mesentero-axial gastric volvulus
61. Mesentero-axial gastric volvulus
62. Mesentero-axial gastric volvulus
63. Mesentero-axial gastric volvulus
64. Mesentero-axial gastric volvulus
65. Mesentero-axial gastric volvulus
66. Mesentero-axial gastric volvulus
67. Mesentero-axial gastric volvulus
68. Mesentero-axial gastric volvulus
69. PD Mesentero-axial gastric volvulus
70. Mesentero-axial gastric volvulus
71. Mesentero-axial gastric volvulus
72. Mesentero-axial gastric volvulus
73. EG Mesentero-axial gastric volvulus
74. Mesentero-axial gastric volvulus
75. Mesentero-axial gastric volvulus
76. Mesentero-axial gastric volvulus
77. Mesentero-axial gastric volvulus
78. Mesentero-axial gastric volvulus
79. Mesentero-axial gastric volvulus
80. Mesentero-axial gastric volvulus
81. Mesentero-axial gastric volvulus
82. Mid-gut volvulus (malrotation)
83. Mid-gut volvulus (malrotation)
84. Mid-gut volvulus (swirl sign)
85. Sigmoid volvulus
86. Sigmoid volvulus
87. Sigmoid volvulus
88. Sigmoid volvulus
89. Sigmoid volvulus
90. Sigmoid volvulus
91. Sigmoid volvulus
92. Sigmoid volvulus
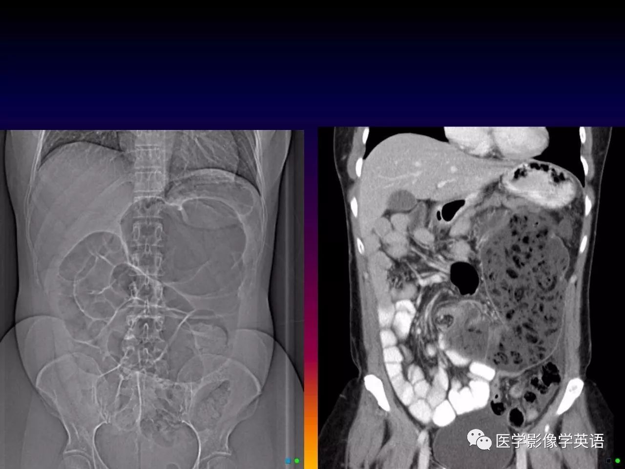
93. Cecal volvulus
94. Cecal volvulus
95. Cecal volvulus
96. Cecal volvulus
97. Cecal volvulus
98. Cecal volvulus
99. Cecal volvulus
100. Cecal volvulus
FROM:https://www.slideshare.net/hytham_nafady/volvulus-34007550

共有条评论 网友评论